implantes dentales en Salamanca
Implantes y cirugía periodoncia
Qué son los implantes
Los implantes sustituyen a los dientes perdidos, son raíces artificiales. Se introducen en el hueso maxilar y se dejan cicatrizar durante unas semanas.
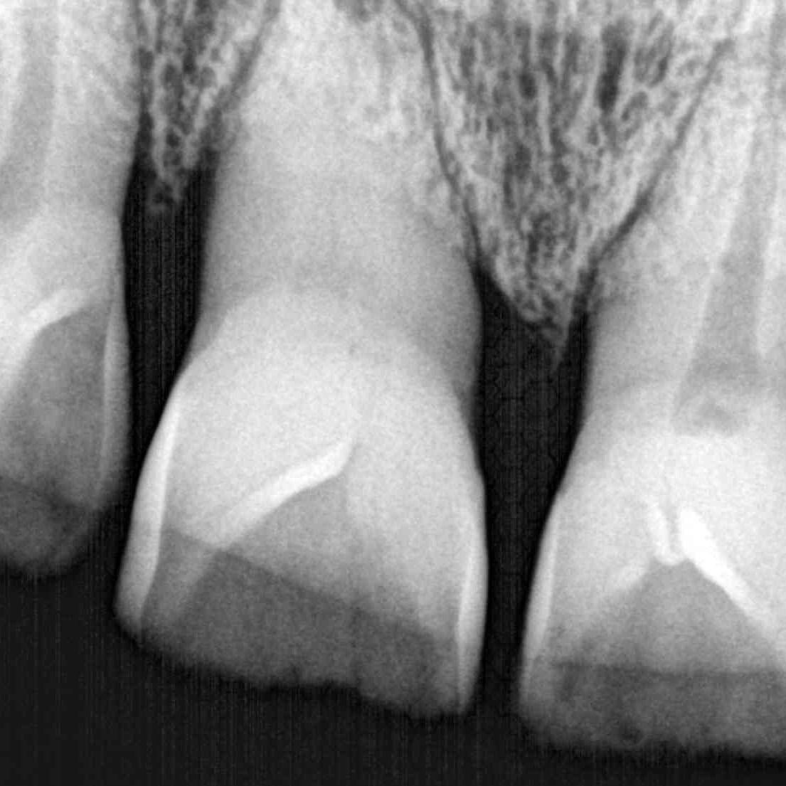
Esta técnica es minimamente invasiva, ya que planificamos todos los casos con nuestra radiografía en 3 dimensiones y nuestro escáner intraoral.
Nuestros implantes dentales están avalados por años de experiencia y respaldados por centenares de estudios científicos.
Los implantes dentales no solo restauran tu sonrisa, sino que también preservan la estructura de tus dientes y mandíbula. Al ser colocados de manera quirúrgica en el hueso, funcionan como raíces artificiales, lo que proporciona una base sólida para una prótesis dental que se ve y funciona como un diente natural. Los implantes son una opción duradera y segura, además de ser altamente estéticos, ya que se integran perfectamente con el resto de tus dientes.
En nuestra clínica, somos especialistas en tratamientos de implantología dental en Salamanca y utilizamos tecnología avanzada para asegurar que cada implante se coloque con precisión y que el proceso de recuperación sea lo más rápido y cómodo posible.
Implantes y cirugía periodoncia
ESPECIALISTAS EN IMPLANTES DENTALES EN SALAMANCA
Recupera tu sonrisa hoy mismo
¡Solicita más información y resuelve todas tus dudas!





